menu play audio video alerta alerta-t amigo bola correio duvida erro facebook whatsapp whatsapp-outline linkedin twitter youtube informacao instagram mais menos sucesso avancar voltar direita esquerda acima abaixo seta item xis file file-pdf file-zip download etiqueta telefone carta

Prótese de quadril

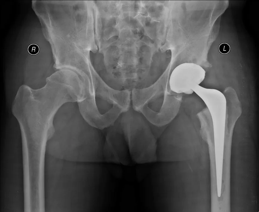
Chapa de raio-X de quadril com prótese

Prótese ou artroplastia do quadril é a substituição da articulação do paciente por uma artificial.

É indicada quando o paciente apresenta problemas na articulação que causem dor incapacitante e que não melhora com outros tratamentos.

Os componentes da prótese são feitos de materiais diversos, até mesmo em uma só prótese. A parte do fêmur pode ser feita de ligas de titânio ou de cromo-cobalto. A cabeça pode ser feita de metal (normalmente cromo-cobalto) ou cerâmica. A parte da bacia pode ser feita de polietileno (um plástico muito resistente) ou cerâmica.

As próteses podem ser fixadas no osso com cimento ortopédico (um polímero chamado poli metil meta acrilato ou PMMA) ou podem ser integradas ao osso quando este cresce para dentro de poros na prótese.

O acesso ao quadril para realizar a cirurgia pode ser feito por 3 vias: anterior, posterior e lateral. Cada uma com suas vantagens, desvantagens, indicações e contra indicações.

O melhor tipo de prótese e via deve ser individualizado para o paciente e sua doença. A experiência do cirurgião com a prótese e a via a serem utilizadas também é fundamental para um bom resultado da cirurgia.

Compartilhe: